Casos Clínicos

Caso nº 8

Caso Clínico #10

Local: Curitiba-PR
Mês / Ano: Agosto/2014

Assuntos relacionados: INFECÇÃO BACTERIANA. SEXO MASCULINO.

Quadro Clínico

Paciente do sexo masculino, 46 anos.

Com base nos dados clínicos e laboratoriais, propomos as seguintes questões para discussão do caso:

Com base no resultado do hemograma e nas fotos da extensão sanguínea indique a hipótese diagnóstica laboratorial e faça uma breve discussão sobre sua escolha.

Referências Bibliográficas

SILVA, Paulo Henrique, et al. Hematologia Laboratorial: teoria e procedimentos. Porto Alegre, Ed. Artmed, 2016.

Dados Laboratoriais

                                         HEMOGRAMA

Eritrócitos

4.580.000/uL

Hemoglobina

12,6 g/dL

Volume globular

39,0%

VCM

85,1 fL

HCM

27,5%

CHCM

32,3%

Leucócitos

14.800/uL

Plaquetas

106.000/uL

Linfócitos

03%

Monócitos

01%

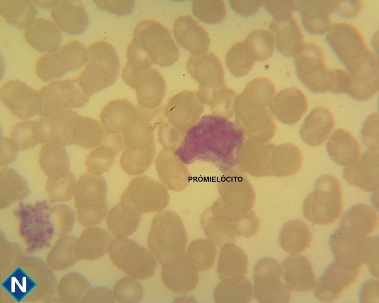
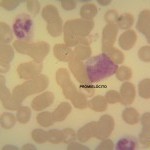
Prómielócitos

01%

Mielócitos

02%

Metamielócitos

02%

Bastonetes

13%

Segmentados

78%

Neutrófilos

91%

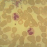
Granulações tóxicas +++

Corpúsculos de Döhle +

 

Respostas da discussão

Hipótese diagnóstica laboratorial

Processo infeccioso bacteriano agudo.

 

Discussão do caso laboratorial

O hemograma mostra uma leucocitose discreta que se dá à custa de neutrofilia, com um discreto desvio nuclear à esquerda (13 bastonetes). Mas, o desvio nuclear à esquerda não é o mais importante, o importante é a presença de granulócitos imaturos (prómielócitos, mielócitos e metamielócitos). Além dos granulócitos imaturos há a presença de granulações tóxicas e corpúsculos de Döhle. A associação de granulócitos imaturos com granulações tóxicas e corpúsculos de Döhle caracteriza um hemograma infeccioso. Este hemograma é característico de um processo infeccioso bacteriano agudo. Como o número de leucócitos está acima do valor de referência (14.800), pode-se dizer que o quadro infeccioso é compatível com uma produção (medula óssea) maior que o consumo (tecido).

A granulação tóxica representa a visualização das granulações primárias em metamielócitos e neutrófilos (bastonetes e segmentados), células que em situações fisiológicas não tem estas granulações reveladas, em decorrência do aumento da proliferação dos neutrófilos e abreviação da mitose. Os corpúsculos de Döhle, que podem acompanhar as granulações tóxicas, são a visualização do retículo endoplasmático rugoso. O aparecimento de granulações tóxicas e corpúsculos de Döhle pode ser correlacionado com infecção bacteriana.

Outro dado relevante do hemograma é a contagem de plaquetas, que está abaixo da referência. Em um hemograma infeccioso deve-se prestar bastante atenção ao número de plaquetas. Se ocorre a queda do número de plaquetas, isto pode ser um sinal de que o paciente pode estar entrando em um quadro de septicemia. Em um hemograma infeccioso se a contagem de plaquetas está abaixo de 30.000 plaquetas/microlitro o paciente, quase que com certeza, está em um quadro de septicemia.

Mapa do site